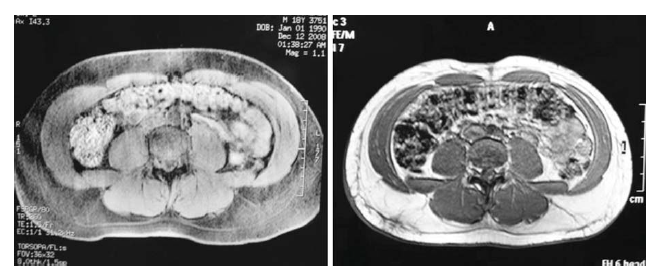
From July to December of 2008, 23 subjects underwent radiofrequency-assisted liposuction using the BodyTite system. Information regarding aesthetic results and local and systemic complications was collected immediately after the procedure and at 6- and 12-week follow-up. The authors' study suggests that the removal of moderate volumes of fat with concurrent subdermal tissue contraction can be performed safely and effectively with radiofrequency-assisted liposuction. Additional benefits of this technique are excellent patient tolerance and fast recovery time. Nonetheless, a larger sample is required to confirm the authors' results and guarantee the efficacy and safety of the procedure. Direct comparison with traditional liposuction or energy-assisted liposuction techniques may provide some insights to tailor future indications of this novel technique.
Minimally Invasive Body and Face Contouring
A Safety and Feasibility Study of a Novel Radiofrequency-Assisted Liposuction Technique






Leave a comment
All comments are moderated before being published.
This site is protected by hCaptcha and the hCaptcha Privacy Policy and Terms of Service apply.