
Aesthetic Applications of Radiofrequency: Lymphatic and Perfusion Assessment
The use of radiofrequency in aesthetics has increased in popularity since the early 2000s. To date, there have been limited studies investigating the effect of thermal energy secondary to ...

The Use of Radiofrequency in Aesthetic Surgery
The use of radiofrequency for soft tissue tightening has increased over the past 10 years. Both minimally invasive and noninvasive devices are frequently in use. This article describes the...

Suction-assisted lipectomy has undergone significant improvements in technique, outcomes, and safety. The local anesthetic option has an excellent safety profile, and energy-based modaliti...

The finite element method was used, and experiments were performed to analyze the effect of different electrode spacings and power combinations on the electrical and thermal aspects of bio...

For decades in the senior author’s practice, the most frequent aesthetic surgery request has been for improvement of abdominal contour. Patient presentations vary from thin with wrinkles t...

Multimodal Radiofrequency Application for Lower Face and Neck Laxity
Nonexcisional facial skin tightening has long been an elusive goal in aesthetic surgery. The “treatment gap” includes cases who are not “severe” enough for excisions surgery but not “mild”...

Minimally invasive or noninvasive skin-tightening procedures have become trends in facial and neck rejuvenation. Radiofrequency-assisted liposuction (RFAL) is a new choice for the treatmen...

The Fate of Active Acne and Acne Scars Following Treatment With Fractional Radiofrequency
Acne vulgaris (AV) is a common skin disorder that may result in long-lasting acne scars. Techniques such as delivering fractional radiofrequency (RF) energy through miniature pins or needl...

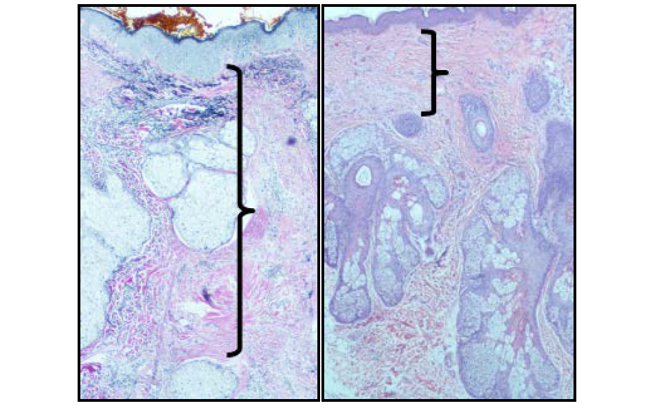
Novel Histological Evidence of Collagen and Elastin Regeneration in Fractional RF-Treated Acne Scars
Fractional radiofrequency (RF) technology has been shown to be a gold standard therapy for acne scars. We have previously published clinical and histological results from the treatment of ...

Increasingly, patients are seeking minimally invasive methods to tighten skin and remodel adipose tissue. A large treatment gap exists among 3 types of patients: (1) the younger demographi...

Evaluation of a new diode laser for the treatment of lower extremity leg veins
Visible leg veins are a common cosmetic concern treated mostly by 1064 nm Nd:YAG laser that has become the chosen laser therapy for treating all leg veins up to 3 mm in size. The objective...

Role of Radiofrequency (Votiva, InMode) in Pelvic Floor Restoration
Postpartum pelvic floor disorders are estimated to impact 24% of women in the United States. This study describes the use of a radiofrequency device (Votiva, InMode) for postpartum pelvic ...


