
The new Morpheus8 is a novel external RFAL device that uses the proven softtissue contraction of BodyTite in an external, non-invasive procedure. This external RF applicator, which is also...

The Basic Science of Radiofrequency-Based Devices
This chapter outlines the basic science and specific principles of operation for radiofrequency (RF) technologies with a focus on minimally-invasive applications enhancing liposuction proc...

A subset of facelift patients have premature redevelopment of skin laxity in the lower face and neck. Many patients seek alternatives to revision facelifts to avoid high risks and costs. R...

The COVID‐19 pandemic requires us all to re‐evaluate aesthetic practices to ensure optimal patient safety during elective procedures. Specifically, energybased devices and lasers require s...

Aesthetic Applications of Radiofrequency: Lymphatic and Perfusion Assessment
The use of radiofrequency in aesthetics has increased in popularity since the early 2000s. To date, there have been limited studies investigating the effect of thermal energy secondary to ...

The Use of Radiofrequency in Aesthetic Surgery
The use of radiofrequency for soft tissue tightening has increased over the past 10 years. Both minimally invasive and noninvasive devices are frequently in use. This article describes the...

Multimodal Radiofrequency Application for Lower Face and Neck Laxity
Nonexcisional facial skin tightening has long been an elusive goal in aesthetic surgery. The “treatment gap” includes cases who are not “severe” enough for excisions surgery but not “mild”...

The Fate of Active Acne and Acne Scars Following Treatment With Fractional Radiofrequency
Acne vulgaris (AV) is a common skin disorder that may result in long-lasting acne scars. Techniques such as delivering fractional radiofrequency (RF) energy through miniature pins or needl...

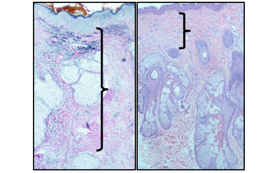
Novel Histological Evidence of Collagen and Elastin Regeneration in Fractional RF-Treated Acne Scars
Fractional radiofrequency (RF) technology has been shown to be a gold standard therapy for acne scars. We have previously published clinical and histological results from the treatment of ...

Increasingly, patients are seeking minimally invasive methods to tighten skin and remodel adipose tissue. A large treatment gap exists among 3 types of patients: (1) the younger demographi...


