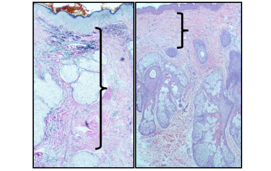
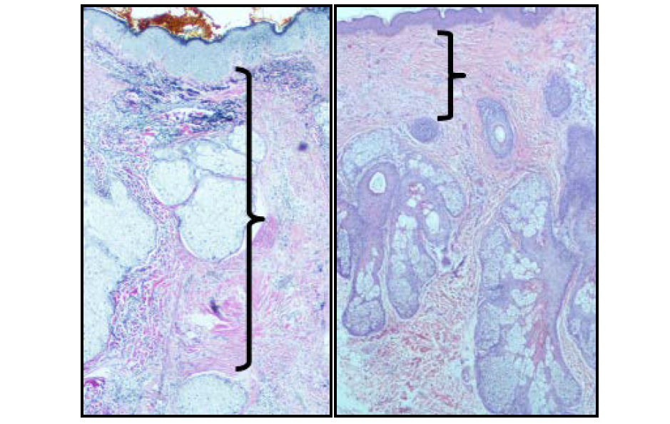
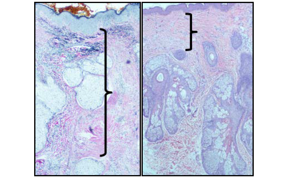
Fractional radiofrequency (RF) technology has been shown to be a gold standard therapy for acne scars. We have previously published clinical and histological results from the treatment of 8 patients with active acne and acne related scarring using a fractional RF device. Evidence of safety and efficacy was demonstrated, including long term follow-up clinical results from 4 patients, up to two years post last fractional treatment. In the current article we present histology evidence of acne scar skin renewal 3.5 years post treatment.
Skin Remodelling
Novel Histological Evidence of Collagen and Elastin Regeneration in Fractional RF-Treated Acne Scars






Leave a comment
All comments are moderated before being published.
This site is protected by hCaptcha and the hCaptcha Privacy Policy and Terms of Service apply.