
Nonexcisional, Minimally Invasive Rejuvenation of the Neck
Dr Steve Mulholland takes us on the journey of minimally invasive and non-invasive energy based techniques to rejuvenate the aging neck. He frequently combines these techniques with open a...

Recent publications show that heat-mediated tissue tightening is a promising treatment for the lax abdomen and may provide better long-term outcomes than traditional suction-assisted lipos...

Radiofrequency-assisted liposuction is a relatively new concept in energy-assisted body contouring techniques and has received instrument approval. This supplemental article reviews the cl...

A Safety and Feasibility Study of a Novel Radiofrequency-Assisted Liposuction Technique
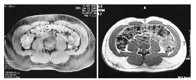
From July to December of 2008, 23 subjects underwent radiofrequency-assisted liposuction using the BodyTite system. Information regarding aesthetic results and local and systemic complica...

Liposuction treats lipodystrophy and reduces the thickness of body contouring flaps. Patients are evaluated for suitability of deformity, skin quality, and understanding of the procedure. ...

A new liposuction technology for adipocyte lipolysis and uniform three-dimensional tissue heating and contraction is presented. The technology is based on bipolarradiofrequency energy appl...


